Lorsqu’on suspecte un cancer de la vessie, des examens d’imagerie sont essentiels pour affirmer la présence de la tumeur.
Ces examens sont centrés sur la réalisation d’une imagerie en coupes, principalement un uroscanner.
L’échographie
Le principe de l’échographie est l’utilisation d’ultrasons pour permettre de visualiser le contenu des organes abdomino-pelviens.
Elle est utile au titre du dépistage du cancer de la vessie. Elle apprécie la taille de la tumeur et elle peut également apprécier la profondeur de l’implantation de la tumeur dans la paroi vésicale ou l’extension aux organes de voisinage.

Au cours de l’examen, l’étude des reins est réalisée, elle peut permettre de détecter une distension des cavités rénales et un retentissement de la tumeur vésicale.
Cet examen est utile au titre du dépistage surtout. Il est facile à réaliser et à obtenir et il n’y a pas d’utilisation de rayons X.
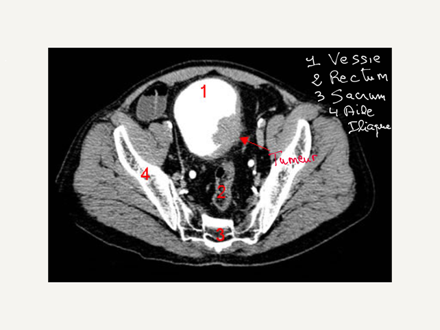
L’uroscanner
L’uroscanner est une imagerie en coupes qui est basée sur l’utilisation des rayons X. Au cours de l’examen, il est réalisé une injection intraveineuse de produit de contraste qui permet de visualiser les structures de l’appareil urinaire, les reins, les uretères, la vessie notamment.
L’uroscanner renseigne sur la taille, l’aspect, la localisation de la tumeur de vessie au niveau de l’appareil urinaire et de ses différentes portions, et notamment au niveau de la vessie.

Elle permet également l’étude des aires ganglionnaires notamment au niveau iliaque. Les ganglions peuvent être envahis par le cancer ainsi que d’autres organes intra-abdominaux ou pelviens.
La réalisation de l’uroscanner a supplanté actuellement l’urographie intraveineuse qui était réalisée autrefois car les renseignements qu’il apporte sont supérieurs.
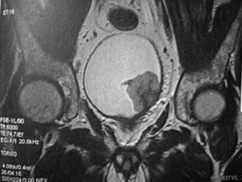
L’imagerie par résonance magnétique (IRM)
Comme l’uroscanner, l’IRM donne des renseignements sur le contenu de l’abdomen et du petit bassin.
Par contre, l’IRM n’utilise pas de rayons X mais un courant magnétique.
La visualisation des structures de l’appareil urinaire est sensibilisée par l’injection intraveineuse de Gadolinium.

Il n’est habituellement pas nécessaire de pratiquer à la fois l’uroscanner et l’uro-IRM.
Habituellement, c’est la réalisation d’un uroscanner qui est préférée dans le cadre du bilan d’extension d’un cancer de la vessie.
Le TEP-scan
La réalisation d’un TEP-scan FDG est indiquée dans le cadre du bilan d’extension de la tumeur de vessie.
Il va permettre d’apprécier la présence d’une dissémination ganglionnaire ou viscérale de la tumeur et de permettre de préciser les indications.

Un patient de 56 ans atteint d’un cancer infiltrant de la vessie recemment diagnostiqué a subi une TEP/CT 18F-FDG à des fins de stadification. L’image TEP montre la tumeur dans la vessie ainsi que de multiples métastases lymphatiques (2A). La tumeur est visible sur le côté gauche de la vessie sur l’image axiale TEP (2B), l’image CT (2C) et l’image fusionnée TEP/TDM (2D). Les métastases mul-tiples sont observées dans les ganglions lymphatiques situés des deux côtés de la région pelvienne (2E), dans les ganglions lymphatiques retro-peritoneaux (2F), dans les ganglions lymphatiques rétrocruraux et dans un ganglion lymphatique du côté gauche de la trachée (2G).
Habituellement, dans le cadre du bilan d’extension d’une tumeur de vessie, l’uroscanner et la réalisation d’un TEP-scan FDG sont suffisants. D’autres examens, comme la scintigraphie osseuse, l’urographie intra veineuse ou la radiographie pulmonaire standard, de ce fait sont devenus inutiles..
Références
- Bouchelouche K, Turkbey B, Choyke PL. PET/CT and MRI in Bladder Cancer. Journal of cancer science & therapy. 2012;Suppl 14(1):7692. doi:10.4172/1948-5956.S14-001.
- Bouchelouche, Kirsten, Baris Turkbey, and Peter L Choyke. “PET/CT and MRI in Bladder Cancer.” Journal of cancer science & therapy Suppl 14.1 (2012): 7692. PMC. Web. 29 Aug. 2017.

Le Dr André Philippe Davody est Chirurgien Urologue, inscrit depuis 1984 au tableau de l’Ordre des Médecins de la ville de Paris, spécialiste en chirurgie générale, en chirurgie urologique ainsi qu’en chirurgie robotique (Da Vinci). Il est également depuis 1999 expert près la Cour Administrative d’Appel de Paris.










